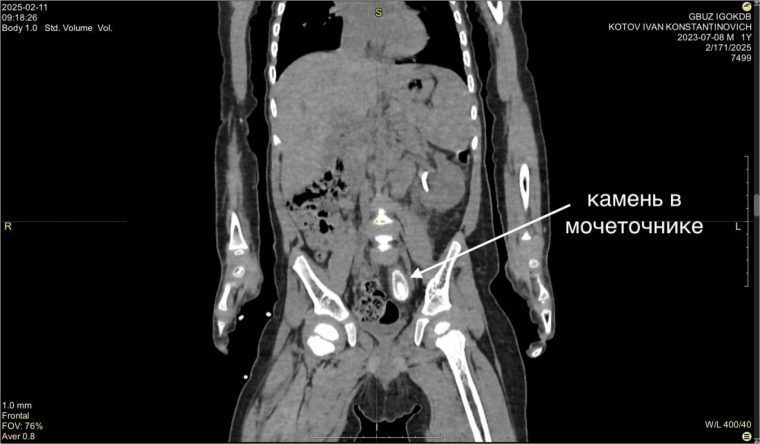
Камень в 3 см удалили из мочеточника маленького жителя Усть-Кута

Сложную операцию провел знаменитый на весь мир иркутский хирург, главный врач Иркутской областной детской клинической больницы Юрий Козлов.

post-22771 thumbnail
  • 12:05
  • 27.03.2025
  • ОбществоУсть-Кут
  • 0
  • 725

Первые признаки заболевания жительница Усть-Кута обнаружила у сына Вани еще в декабре прошлого года. На обследовании в Иркутске поставили диагноз — большой камень в нижней трети левого мочеточника размером около 3 на 1,5 см и вызванный им блок почки.

Размер камня удивил медиков — это нетипично для таких маленьких пациентов.

— Попытка внутрипросветного лечения была безуспешна — устье мочеточника не пропускало даже самую маленькую оптическую систему цистоскопа. После месяца непростого лечения с использованием нескольких антибиотиков была выполнена операция с применением нашего излюбленного подхода без разрезов — лапароскопии, — рассказывает Юрий Козлов.

Операция прошла успешно, и сегодня Ваня чувствует себя прекрасно.

Администрация УКМО

Данное сообщение (материал) создано и (или) распространено некоммерческими организациями и (или) средствами массовой информации, требующими полной отмены законодательства об иностранных агентах

Вы сможете добавить комментарий после авторизации

Присоединяйтесь! Мы в социальных сетях:

Вам также может быть интересно:

post-36570 thumbnail

#Топ новостьУсть-КутЭкономика

В Усть-Куте вновь задерживают зарплату учителям

Задержки с зарплатами бюджетникам в Усть-Кутском районе, случаются все чаще в последнее время Зарплату учителям в Усть-Куте задержали уже на несколько дней. Власти обещают выплатить ее в ближайшие дни и якобы уже деньги с регионального бюджета на эти цели направлены. Тем не менее, конкретно в Усть-Куте бюджетники все еще без зарплаты. Вот что руководство района рассылает директорам учебных заведений: "....‼️‼️‼️Уважаемые руководители! Федеральным казначейством отказано перечисление зарплаты из-за отсутствия подкрепления денежными средствами. Информация доведена до вышестоящего руководства. Возможно сегодня не будет перечисления зарплаты на счета работникам. Прошу довести до сведения коллективам, набраться терпения, делается все возможное в решении сложившейся ситуации. Надеемся на понимание!..." Судя по всему в системе серьезный кризис, который не спасает даже 10% секвестр бюджета в этом году. Гигантские расходные войну, начинают рушить пресловутую путинскую стабильность, на которой держится лояльность армии бюджетников. Будем мониторить проблему в режиме онлайн и в следующей статье расскажем, как некоторые руководители ГОРОНО, наживаются на этой ситуации. Ариэль Эмет Специально для «УК24»  фото : из открытых источников  Канал в Телеграмм Наш Инстаграм Страничка в Одноклассник  
456
0
15.04.2026 в 04:22
post-36488 thumbnail

#Топ новостьПолитикаУсть-Кут

Команда мэра Усть-Кута. Вместо педофила аферист?

Мэр района Сергей Ансимов, назначил нового председателя комитета по экологии, вместо арестованного за педофилию Михаила Тышкивского Положительная динамика начинает прослеживаться в кадровой политике мэра Усть-Кутского района, Сергея Анисимова. На смену сотрудникам имеющим тягу к тяжким уголовным преступлениям, Сергей Геннадьевич стал принимать на работу людей, с более слабым бэкграундом в сфере нарушения закона. Так вместо педофила Михаила Тышкивского, находящегося теперь под стражей в СИЗО, председателем комитета по экологии и сельскому хозяйству, назначен Игорь Семенов. У него пока нет уголовного прошлого, но есть несколько случаев привлечения его административной ответственности, за различные налоговые махинации, в том числе и за незаконное обогащение. Это конечно же хорошо, но прогресс в реабилитации мэра прямо на лицо. Ведь вместо педофила теперь, кресло председателя комитета по сельскому хозяйству администрации Усть-Кутского района, занимает человек с более цивильным и мягким отношением к правонарушениям. Не идеально конечно, но все же уже лучше, чем было до января 2026 года. Ариэль Эмет Специально для «УК24»  фото : из открытых источников  Канал в Телеграмм Наш Инстаграм Страничка в Одноклассник  
1305
0
12.04.2026 в 04:56
post-36384 thumbnail

#Топ новостьКриминалУсть-Кут

В Усть-Кутском районе в поселке Верхнемарково за год четыре случая насильственных действий сексуального характера в отношении несовершеннолетних

Аномальную с точки зрения защиты прав на половую неприкосновенность несовершеннолетних ситуацию, можно наблюдать в поселке Верхнемарково  Как стало известно "УК24", четыре уголовных дела в отношении жителей Верхнемарково по статье 132 УК РФ "Насильственные действия сексуального характера", возбуждены за последний год. Мы попытались найти логическое объяснение этому локальному всплеску насилия над несовершеннолетними, но кроме нового соцработника в поселке, которая и инициировал все эти уголовные дела, ничего не обнаружили. Поселок небольшой, но на него пришлось больше половины всех уголовных дел по этой статье по всему району. При этом известно, что соцработник сообщала в полицию и СК данные, которые получала от детей, и по ним жестко работали полицейские. Подозреваемых сильно избивали и мучали, выбивая признание, но при этом ни одного настоящего сексуального контакта, не было. Несколько дел по статье 132 УК РФ, уже рассматривается в городском суде, а по некоторым еще ведется следствие. Мы конечно не знаем, как все было на самом деле, но именно локальный всплеск уголовных дел по этой тяжелой статье из Верхнемарково, нас честно говоря насторожил. Зная какими фашистской-садистскими методами выбивают признание у подозреваемых, есть повод не доверять следствию. Кроме этого, мы немного вникли в один эпизод с обвинением в насильственных действиях сексуального характера в отношении 12-летней девочки, и были в шоке от фактуры. Оказывается девочку бросила мать и ее забрали в детский дом, а потом ее 32-летний отец оформил опекунство с помощью родственников. При этом у Василия К. есть психический диагноз и он даже на вид слабоумный и как он умудрился забрать девочку домой, остается загадкой. Так вот этому Василию К., следователи предъявляют обвинение в растлении дочери, которую он якобы гладил по груди и иногда спал с ней на одном диване. Об этом соцработнику якобы  сообщила сама девочка, а та проинформировала полицию. Мы не можем выступить с какой-то оценкой событий, так как у нас нет достаточной информации об этих преступлениях. Как впрочем нет и веры полиции и чисто случайному локальному всплеску педофилии в конкретном поселке. Вполне возможно, что экзальтированная соцработница неправильно интерпретирует поведение детей, а правоохранители зарабатывают на этом себе звезды, за раскрытие тяжких преступлений. То, что на всю жизнь ломаются чьи-то судьбы, никого не волнует и особенно прокуратуру, которая должна следить за соблюдением законности и прав граждан. Мы конечно попытаемся более подробно разобраться в каждом конкретном случае, но сомнения в качестве следствия конечно же есть. Как что узнаем, сразу опубликуем. Ариэль Эмет Специально для «УК24» фото : из открытых источников Канал в Телеграмм Наш Инстаграм Страничка в Одноклассник  
1519
0
07.04.2026 в 04:57
post-36333 thumbnail

#Топ новостьУсть-КутЭкономика

В Усть-Куте на предприятии экс-главы города задержки зарплаты

СКАНДАЛ В “ЛЕНАЛЕССЕРВИС”  Как стало известно "УК24", задержки зарплаты в принадлежащем бывшему главе города Александру Душину, лессоперерабатывающем предприятии "Леналессервис", превысили 2 месяца. Люди не получили зарплату еще за февраль месяц. Работники уже обратились в инспекцию по труду и прокуратуру, но пока безрезультатно. Так же возникли проблемы с выплатами расчета уволенным сотрудникам, и скорее всего ситуация носит системный характер. Судя по всему, тяжелое финансовое положение не только результат экономического кризиса в отросли, но и искусственно созданная ситуация, целью которой является смена собственника предприятия. Мы скоро опубликуем материал по этой теме. Ну а пока, работники "Леналессервиса" возмущены, ведь им нечем платить кредиты и ипотеку, а так же текущие расходы на содержание семей. Будем надеяться, что менеджмент предприятия найдет выход из затяжного кризиса и найдет инструменты для купирования опасной ситуации. Мы со своей стороны будем мониторить все процессы, связанные с проблемами предприятия "Леналессервис". Ариэль Эмет Специально для «УК24» фото : из открытых источников Канал в Телеграмм Наш Инстаграм Страничка в Одноклассник  
1482
0
05.04.2026 в 05:51